Des mutations en dehors des gènes à l'origine de maladies musculaires et neurodégénératives
08 avril 2026


Les cellules vieillissantes sont capables d’échapper à la destruction par le système immunitaire. En contrant ce phénomène, il est possible de réduire les dommages liés au vieillissement.

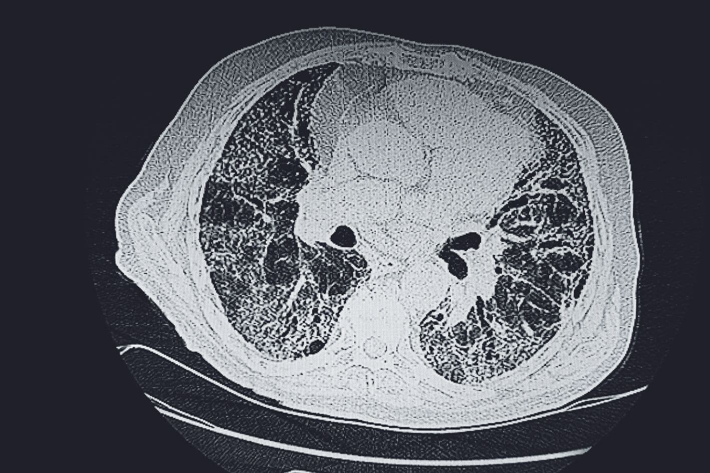
Au cours du vieillissement normal, des cellules sénescentes 1 s’accumulent dans l’organisme : elles ne se divisent plus, secrètent des molécules inflammatoires, altèrent leur environnement et participent au développement des maladies chroniques liées à l’âge, comme l’ostéoporose, la fibrose 2 pulmonaire ou hépatique et même certains cancers. Normalement, ces cellules vieillissantes sont éliminées par le système immunitaire, et plus particulièrement par les cellules dites tueuses naturelles, ou cellules NK. Une étude dirigée par Julien Cherfils-Vicini, de l’Institute for Research on Cancer and Aging de Nice (IRCAN), vient de découvrir un mécanisme par lequel certaines d’entre elles échappent à cette élimination : elles produisent une molécule appelée ganglioside GD3 qui agit comme un bouclier à leur surface et les rend en quelque sorte invisibles aux cellules immunitaires de type NK.
Chez des souris modèles, les chercheurs ont alors essayé de lever ce blocage immunitaire et de restaurer cette reconnaissance par les cellules NK grâce à une immunothérapie 3. Ils ont en effet développé des anticorps anti-GD3 qu’ils ont administrés aux rongeurs. Résultats : les cellules immunitaires de type NK ont pu effectuer le travail correctement et éliminer les cellules vieillissantes. Les chercheurs ont alors constaté une réduction marquée des dommages liés au vieillissement chez les animaux, et plus particulièrement une atténuation de la fibrose pulmonaire et hépatique ainsi qu’une amélioration des processus de remodelage osseux.
À l’instar des immunothérapies développées dans le domaine du cancer, pour favoriser la reconnaissance et la destruction des cellules cancéreuses par le système immunitaire, cette approche pourrait être une piste pour lutter contre les maladies chroniques liées au vieillissement. Elle pourrait en effet permettre de lever les freins naturels qui protègent les cellules sénescentes du contrôle par le système immunitaire.
Source : Nature aging, février 2025
Financement FRM en 2023
Fibrose : transformation du tissu d’un organe en tissu fibreux, plus épais et plus rigide que le tissu d’origine et qui perd sa fonctionnalité d’origine.
Sénescence : état stable de la cellule qui s’est arrêtée de proliférer mais qui est toujours vivante et métaboliquement active.
Immunothérapie : traitement qui a pour but de modifier la réponse immunitaire naturelle de l’organisme, en la stimulant (immunostimulation) ou en la diminuant (immunosuppression).
Newsletter
Restez informé(e) !
Abonnez-vous pour recevoir les actualités et communications de la FRM, les projets et découvertes sur toutes les maladies…